We’re passionate about helping patients reach their dental goals because we know that confidence and optimal oral health go hand in hand. Partnering alongside our patients, we pay relentless attention to detail and prioritize the highest quality of care to renew the beauty and bite of their teeth. From lasting restorative solutions to stunning cosmetic treatments, Dr. Huggett and our skillful team are here to bring your healthiest, happiest smile to life. Check out these real transformations and see what we can do for you!


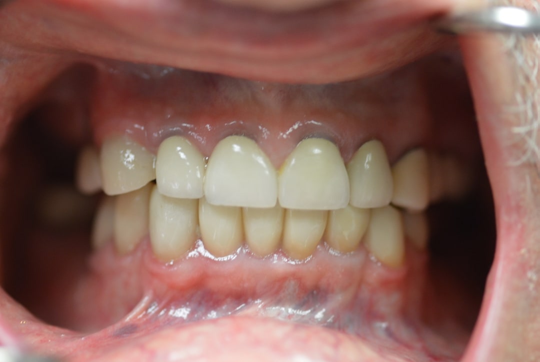
Bob had severe wear and destruction of his remaining lower teeth. This required surgery to expose more tooth length. We also placed new custom crowns to restore the form and function of his bite. Bob is very happy with the results and loves smiling with confidence.


When Jill came to us, she was very unhappy with the size and shape of her upper front lateral incisor. A veneer was prepared and placed to seamlessly improve the aesthetics of her smile.


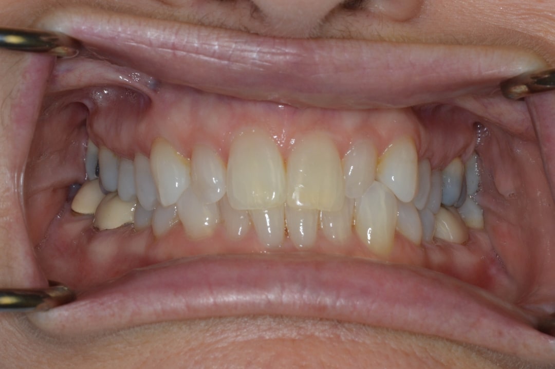
Pat was displeased with the color and fit of her old veneers. We discussed improving her smile by grafting the front tooth, whitening the teeth, and replacing her old veneers. The result is a refreshed, rejuvenated smile that Pat can be proud of.
No dental insurance? No problem. Get started and save with the Huggett Dental Membership Program! For just a low monthly subscription, our affordable in-house membership features professional preventive care and exclusive savings to propel you towards exceptional dental health all year long.